White Composite Fillings in West  Los Angeles & Beverly Hills

Natural, cosmetic, tooth-colored fillings are one of the most effective ways to repair cavities, strengthen teeth, and enhance your smile—without the dark, metallic look of old silver (amalgam) fillings.

At Smile Recreation Dentistry by Dr. Baseri, we provide durable, aesthetic composite fillings for patients throughout Los Angeles, Beverly Hills, West Hollywood, and surrounding communities. Every restoration is carefully sculpted for seamless blending, long-term strength, and a natural appearance.

✅ What Are Tooth-Colored Composite Fillings?

Composite fillings are mercury-free, safe, cosmetic restorations used to repair:

  • Cavities

  • Chips or cracks

  • Small gaps

  • Worn edges

  • Staining or discoloration

  • Old silver fillings

✅ Why Choose White Fillings Over Silver (Amalgam) Fillings?

⭕️ Mercury-Free, Biocompatible Materials

Composite fillings contain no mercury, making them safer and more aesthetic.

⭕️ Perfect Color Match to Natural Teeth

Your filling is shaded to match your enamel exactly—no visible dark spots.

⭕️ Stronger Bonding & Less Drilling

Composite chemically bonds to enamel, requiring minimal tooth removal.

⭕️ Ideal for Front Teeth & Visible Areas

Perfect for cosmetic zones and smile makeovers.

Replace Old Silver Fillings

We safely remove outdated amalgam fillings and replace them with natural-looking restorations.

Our Advanced Composite Filling Process

Step 1 — Gentle, Painless Numbing

We ensure total comfort using ultra-thin needles and buffering techniques.

Step 2 — Remove Decay Conservatively

Our techniques preserve as much natural tooth as possible.

Step 3 — Layered Composite Bonding

We use high-strength, multi-layered composites cured with advanced LED light technology.

Step 4 — Sculpting for Natural Anatomy

Every filling is shaped for ideal bite function and esthetics.

Step 5 — High-Gloss Polishing

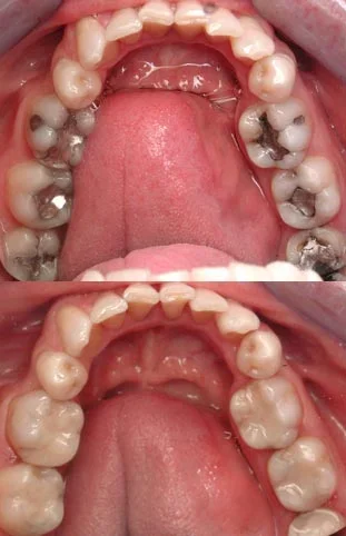
Amalgam Replacement with White Filling

Amalgam Replacement with White Filling

Your tooth looks smooth, bright, and natural—often better than before.

✅ How Long Do White Fillings Last?

With good hygiene and regular cleanings, composite fillings last 7–15 years, sometimes longer. Their longevity depends on:

  • Bite forces

  • Tooth location

  • Grinding (bruxism)

  • Size of the restoration

Patients who grind their teeth may benefit from a custom night guard to protect their fillings.

✅ Are White Fillings Right for You?

You’re an excellent candidate if you want to:

  • Treat a cavity

  • Replace old metal fillings

  • Improve cosmetic appearance

  • Strengthen weakened enamel

  • Repair chips or fractures

Dr. Baseri will evaluate your tooth using digital X-rays and high-resolution imaging for precise diagnosis.

Cost of White Fillings in Los Angeles & Beverly Hills

Composite fillings range from $150–$600, depending on:

  • Tooth location

  • Size of the restoration

  • Insurance coverage

We accept most PPO plans and provide transparent, upfront pricing.

✅ Why Choose Smile Recreation Dentistry?

Expert Cosmetic Dentistry

Dr. Baseri has completed over 100,000+ dental restorations, including advanced cosmetic fillings.

Precision Color Matching Technology

We use digital shade-matching for flawless blending.

Minimally Invasive Treatments

Preserving your natural tooth is always our priority.

Beverly Hills-Level Cosmetic Results

Our practice is known for natural esthetics and long-lasting bonding techniques.

Replacement of mercury or silver fillings with white fillings